Procedure: Facelift Houston, TX, Eyelid Surgery Houston, TX,
Procedure Details
Facelift and Blepharoplasty.
Procedure:
Age: 65
Height: 5' 4"
Weight: 154 lbs
Procedure: Facelift Houston, TX, Eyelid Surgery Houston, TX,
Procedure Details
Facelift and Quad Blepharoplasty.
Procedure:
Age: 50 - 59
Height: 5' 0" - 5' 5"
Weight: 100 - 149 lbs
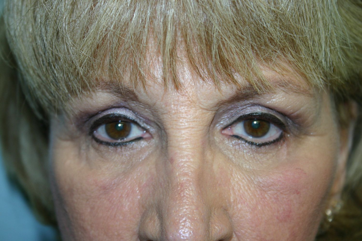
Procedure: Eyelid Surgery Houston, TX
This patient found Dr. Lapuerta through website research. She wanted to improve the appearance of her eyes, both upper and lower. She met with Dr. Lapuerta and he recommended an upper and lower blepharoplasty surgery to improve her appearance. 5 months after surgery she is very happy with her results!
Age: Over 60
Height: 5' 0" - 5' 5"
Weight: 100 - 149 lbs
Procedure: Eyelid Surgery Houston, TX
This patient was referred by a friend. She consulted with Dr. Lapuerta about her options to improve her facial appearance. Her main concerns were her eyes and neck. Dr. Lapuerta recommended upper and lower eyelid surgery and a facelift for optimal results. The patient scheduled her procedure right away and 6 months after her procedure she is very happy with her results!
Age: Over 60
Height: 5' 6" - 6' 0"
Weight: 150 - 199 lbs
Procedure: Eyelid Surgery Houston, TX
This patient was concerned about his droopy eyelids. He complained that his eyes felt heavy and that they were starting to block his vision. After meeting with Dr. Lapuerta, he scheduled his surgery for not only his upper eyelids but his lower eyelids as well. For optimal results Dr. Lapuerta recommended both upper and lower eyelid surgery to look his best. 1 year after surgery and swelling has gone away, the patient is very happy with his results and choice to have this procedure performed by Dr. Lapuerta.
Age: Over 60
Height: Over 6' 0"
Weight: 100 - 149 lbs
Procedure: Brow Lift Houston, TX,Eyelid Surgery Houston, TX
This patient wanted to improve her overall facial appearance. She wanted to look more youthful and look as good as she felt. She consulted with Dr. Lapuerta and he recommended a facelift, brow lift, eye surgery along with fat injections and oil peel. This treatment plan would give her the most optimal results addressing all areas of concern. She had her procedure and 6 months later she looks amazing!
Age: 50 - 59
Height: 5' 6" - 6' 0"
Weight: 150 - 199 lbs
Procedure: Eyelid Surgery Houston, TX
This patient had lost 70 pounds with diet and exercise and the first place she noticed a change was in her face. Her neck was very bothersome to her and she wanted to see what could be done surgically to help. A friend of hers referred her to Dr. Lapuerta and she agreed with him that a facelift and eyelid surgery would benefit her. She did want a permanent correction and she scheduled her surgery right away. 3 months after her procedure, she returned to work and her peers loved the change they saw in her. She is thrilled and loves her results!
Age: Over 60
Height: 5' 6" - 6' 0"
Weight: 100 - 149 lbs
Procedure: Eyelid Surgery Houston, TX
This patient consulted with Dr. Lapuerta about options for her improving her face. She was open to recommendations and knew she wanted something permanent. She has lost over 70 pounds and was not happy with the loose skin on her neck. Dr. Lapuerta recommended a full facelift, eyelid surgery and Botox for her forehead. 6 months after surgery she started on our skincare line and looks great!
Age: Over 60
Height: Over 6' 0"
Weight: 150 - 199 lbs
Procedure: Eyelid Surgery Houston, TX
This male consulted with Dr. Lapuerta about concerns for his lower eyes. Dr. Lapuerta recommended a lower eyelid procedure and he scheduled his procedure right away. 1 year after surgery he looks much more refreshed!
Age: Over 60
Height: 5' 0" - 5' 5"
Weight: 100 - 149 lbs
Procedure: Eyelid Surgery Houston, TX
This healthy patient consulted with Dr. Lapuerta about a neck lift procedure. She had lost over 100 pounds and was not happy with the loose skin on her neck. She was very active and wanted to look as good as she felt. After consulting with Dr. Lapuerta, she decided to proceed with surgery. 6 months after surgery she looks great!
Age: Over 60
Height: 5' 0" - 5' 5"
Weight: 100 - 149 lbs
Procedure: Eyelid Surgery Houston, TX
This patient researched online to find a surgeon to perform her eyelid surgery. She consulted with Dr. Lapuerta to discuss her options. Her concerns were her upper and lower eyes. After meeting with Dr. Lapuerta he recommended an upper and lower blepharoplasty to help her achieve the results she was looking for. She scheduled her procedure at her initial consultation and 1 year after surgery she is thrilled with her results!
The patient's eyes are more open and more visible while maintaining a natural look. She also has less hooding of her upper eye. Overall she looks more youthful. Her eyes also appear brighter.
Age: Over 60
Height: 5' 0" - 5' 5"
Weight: 100 - 149 lbs
Procedure: Eyelid Surgery Houston, TX
This patient consulted with Dr. Lapuerta about what she could do to look more youthful and less tired. She had been a patient of Dr. Lapuerta's for several years and she trusted is recommendations. She had an upper and lower blepharoplasty and looks awesome! She is very happy with her results!
Taken 1 year after surgery, she looks younger, more refreshed and youthful! Her eyes are more open and she looks rested.
Age: 50 - 59
Height: 5' 0" - 5' 5"
Weight: 100 - 149 lbs
Procedure: Eyelid Surgery Houston, TX
This patient had been a patient of Dr. Lapuerta for many years. She decided to consult with him about her options for her eyes. She wanted to open her eyes more and look more youthful. Dr. Lapuerta recommended an upper and lower blepharoplasty. She proceeded with surgery and 6 months later she is thrilled about her results and she looks great!
The upper and lower eyelid procedure really opened her eyes and makes her look years younger.
Age: 50 - 59
Height: 5' 6" - 6' 0"
Weight: 200 - 249 lbs
Procedure: Eyelid Surgery Houston, TX
This patient consulted with Dr. Lapuerta about options for his eyes. He felt his eyes looked heavy and did not like the fullness below his eyes. After meeting with Dr. Lapuerta he scheduled his eyelid surgery and 1 year later he is thrilled with his results!
He looks much younger and overall refreshed.
Age: 50 - 59
Height: 5' 0" - 5' 5"
Weight: 100 - 149 lbs
Procedure: Eyelid Surgery Houston, TX
This patient was a 57 year old female who was concerned about her eyes. She had gotten older and wanted to look more youthful. She had been a patient of Dr. Lapuerta's for many years and trusted him to perform her upper and lower eyelid surgery.
She looks overall much younger.Upper and lower eyelid surgery without any visible scarring.
Age: Over 60
Height: 5' 6" - 6' 0"
Weight: 100 - 149 lbs
Procedure: Eyelid Surgery Houston, TX
This patient consulted with Dr. Lapuerta about options for facial rejuvenation. She had tried different lasers and non-invasive procedures and wanted something permanent. She researched online to find a surgeon and met with Dr. Lapuerta. She scheduled her procedure for a facelift and upper and lower eyelid surgery. After 6 months from her surgery date, she is very happy with her decision to have surgery with Dr. Lapuerta. She looks younger and refreshed.
Her eyes are less puffy and she looks rested. No visible scarring and her eyes are more open.
Age: Over 60
Height: 5' 0" - 5' 5"
Weight: 100 - 149 lbs
Procedure: Eyelid Surgery Houston, TX
This patient consultated with Dr. Lapuerta about eyelid surgery. She wanted to improve the appearance of both her upper and lower eyelids and after meeting with Dr. Lapuerta, she scheduled her surgery right away. 6 months after surgery she is thrilled with her results!
Very natural and scarless procedure.
Age: 40 - 49
Height: 5' 0" - 5' 5"
Weight: 100 - 149 lbs
Procedure: Eyelid Surgery Houston, TX
This young patient met with Dr. Lapuerta to talk about her options to open her eyes more. Over the years her brow began to drop and make her eyelids appear heavy. She had some time off of work and wanted to have this procedure done in her downtime. After her consultation with Dr. Lapuerta she scheduled her surgery right away. Dr. Lapuerta recommended both upper and lower eyelid surgery for optimal results. 1 Year after her surgery she is still very happy with her results!
Age: 50 - 59
Height: 5' 0" - 5' 5"
Weight: 150 - 199 lbs
Procedure: Eyelid Surgery Houston, TX,Brow Lift Houston, TX
This patient consulted with Dr. Lapuerta about improving her jawline and profile. She researched many doctors and decided on Dr. Lapuerta to perform her surgery. Her main concern was her neck and jawline and she wanted something permanent. After consulting with Dr. Lapuerta, he recommended a full facelift, browlift, eyelid surgery and a chin implant to improve her profile. 6 months after surgery she is happy with her results and would do it all over again!
Age: 50 - 59
Height: 5' 6" - 6' 0"
Weight: 100 - 149 lbs
Procedure: Eyelid Surgery Houston, TX
This patient presented to Dr. Lapuerta with concerns about her eyes and loss of facial volume. She had researched for a while to find the perfect fit surgeon to perform her surgery. She consulted with Dr. Lapuerta and he recommended both upper and lower eyelid surgery along with facial fat transfer to restore volume to her face for a more youthful appearance. 1 Year after her surgery she is extremely happy with her results!
Age: Over 60
Height: 5' 6" - 6' 0"
Weight: 150 - 199 lbs
Procedure: Eyelid Surgery Houston, TX
This patient was concerned with her lower eyelids. She felt that she looked tired all the time. She consulted with Dr. Lapuerta and she scheduled her procedure right away. Her recovery was very easy and almost painless. She is very happy with her results and loves that she chose Dr. Lapuerta as her surgeon!
The lower eye is much improved. Skin is smooth and she looks more youthful and more refreshed.
Age: Over 60
Height: 5' 0" - 5' 5"
Weight: 150 - 199 lbs
Procedure: Eyelid Surgery Houston, TX
This patient had lost over 60 pounds over the course of several years. With that and time her face began to droop and she was looking to improve her overall facial appearance. She had heard about Dr. Lapuerta through a friend and wanted to consult with him. Dr. Lapuerta recommended a facelift to address her mid-face, cheek, jowl and neck area. He also recommended both upper and lower eyelid surgery for optimal results. Almost 1 year after her procedure she is healing very well and is very happy with her results!
Age: Over 60
Height: 5' 0" - 5' 5"
Weight: 100 - 149 lbs
Procedure: Eyelid Surgery Houston, TX
This patient found Dr. Lapuerta online through research. She was loooking for a doctor who specializes in eyelid surgery. She consulted with Dr. Lapuerta and he suggested an upper and lower eyelid procedure to really open her eyes. After her consultation she thought about the surgery for several months before deciding to proceed. 1 Year after surgery she is so happy with her decision. She is so happy with her results!
Age: Over 60
Height: 5' 0" - 5' 5"
Weight: 100 - 149 lbs
Procedure: Eyelid Surgery Houston, TX
This patient consulted with Dr. Lapuerta about a procedure to open her eyes more. She wanted a permanent correction so he suggested eyelid surgery. 2 months later, she looks great!
Her eyes are brighter and look more open.
Age: Over 60
Height: 5' 6" - 6' 0"
Weight: 150 - 199 lbs
Procedure: Brow Lift Houston, TX,ZO Skin Health Houston, TX,Eyelid Surgery Houston, TX
This patient wanted to improve her appearance with a permanent correction. She had heard about Dr. Lapuerta from a friend and quickly wanted to proceed with surgery. She met with Dr. Lapuerta and discussed that she wanted to look younger, more refreshed while maintaining a natural look. Dr. Lapuerta recommended to perform a browlift, blepharoplasty, and full facelift. These 3 procedures would provide optimal results without having to come back for additional procedures. We also recommended to start ZO Skin Health to improve the condition and texture of her skin. 6 months after surgery she is very happy with her results and decision to have surgery with Dr. Leo Lapuerta!
She looks years younger. Her eyebrows are slightly higher and her eyes are more opened without changing her look. Her jowls are smoother and her neck is much smoother and softer. Very natural look. She is has also been on ZO skin health for 6 months which has improved her skin tone, and texture.Her eyes naturally are more open. The fine lines on the face are greatly improved. The lines from her nose to mouth and from mouth to chin are filled in. Her jawline is smooth and all procedures look very natural.Again here you can see the improvement of her neck. She has a more angular neck profile. Also, no visible scarring.
Age: 40 - 49
Height: 5' 0" - 5' 5"
Weight: 100 - 149 lbs
Procedure: Eyelid Surgery Houston, TX
This patient had right upper eyelid ptosis since young adulthood. She wanted to have this corrected. After talking with Dr. Lapuerta, he suggested a right upper eyelid blepharoplasty. It was a very minor outpatient procedure but it made a difference. She is extremely happy with her results!
Her eyes are now more symmetrical.
Age: Over 60
Height: 5' 0" - 5' 5"
Weight: 100 - 149 lbs
Procedure: Eyelid Surgery Houston, TX
This patient had been a patient of Dr. Lapuerta's for several years. She had thought about having eyelid surgery and finally she decided to proceed. She is happy and looks more youthful!
Her eyes are more open and she looks more youthful and less tired.
Age: Over 60
Height: 5' 6" - 6' 0"
Weight: 150 - 199 lbs
Procedure: Eyelid Surgery Houston, TX
This patient consulted with Dr. Lapuerta about eyelid surgery. At the time she was only interested in correcting the upper eyelids. After consulting with him and examination, Dr. Lapuerta recommended to do both the upper and lower eyelids at the same time. The benefit of combining the 2 was to achieve an overall better result, save money and recovery time. 2 months after surgery she is very happy with her results.
Her eyes are more open and she looks more youthful. She looks very natural and her results look great after 2 months!
Age: Over 60
Height: 5' 0" - 5' 5"
Weight: 150 - 199 lbs
Procedure: Brow Lift Houston, TX,Eyelid Surgery Houston, TX
This patient has been a patient of Dr. Lapuerta's for several years. She had a facelift, browlift, upper and lower eyelid surgery in 2007. She has been coming yearly for her follow ups and it now has been almost 10 years. She looks youthful and very pleased with her results.
It has been 10 years since her facelift, browlift and eyelid surgery. She looks great! Her eyes are open and the results of her surgery are still showing.
Age: Over 60
Height: 5' 6" - 6' 0"
Weight: 150 - 199 lbs
Procedure: Eyelid Surgery Houston, TX
This patient researched several doctors before choosing Dr. Lapuerta to perform his eyelid surgery. 2 months after surgery, he still has some swelling and redness. This should subside over the next couple of weeks. He is very happy with his results!
His eyes are more open and his eyes look less heavy. He looks more youthful, refreshed and younger. His eyes are still mildly red and swollen since this picture was taken only 2 months after surgery. This will get better over the next few weeks.
Age: Over 60
Height: 5' 0" - 5' 5"
Weight: 100 - 149 lbs
Procedure: Brow Lift Houston, TX,Eyelid Surgery Houston, TX
This patient had thought about surgery for several years. She did extensive research on plastic surgeons and chose Dr. Lapuerta as her surgeon. Her goals were to look younger and refreshed and wanted his professional opinion on which procedures would benefit her most. After consultation, she scheduled her surgery to have a facelift, browlift, eyelid, rhinoplasty and oil peel around her mouth. She also started ZO skin health to help with fine lines, and age spots. She is so happy with her results and is so happy that she chose to have this surgery. She feels great and would definitely do it all over again.
She looks much younger overall. Her skin looks smoother, even toned and rejuvenated. Her eyes are more open by having skin removed and her brow lifted. Her jowls are more rounded and less noticeable. These pictures are 3 months post-surgery so the swelling of her nose will go down.Her eyes are more open and the tip of her nose is higher. Jawline is much smoother and neck is pulled tight.The slope of her nose is straighter and her nasal tip is up. Her neck line is smooth and her cheek are pulled up. Before her mouth was downturned as she was frowning. Now it is up and looks as if she is smiling.
Age: Over 60
Height: Over 6' 0"
Weight: 200 - 249 lbs
Procedure: Eyelid Surgery Houston, TX
This patient considered plastic surgery to achieve a more youthful appearance. After meeting with Dr. Lapuerta and discussing his options, he proceeded with a full facelift and eyelid surgery. 9 months after surgery, he is very happy with his results!
Age: 50 - 59
Height: 5' 6" - 6' 0"
Weight: 150 - 199 lbs
Procedure: Eyelid Surgery Houston, TX
This patient met with Dr. Lapuerta to discuss the options for surgery for her eyes. She wanted to look refreshed and not so tired. Her main concern was to achieve a natural result without changing her appearance. She is thrilled about her results and so happy with her choice in surgeon.
Age: 50 - 59
Height: 5' 0" - 5' 5"
Weight: 100 - 149 lbs
Procedure: Eyelid Surgery Houston, TX
This patient is a 59 year old female who wanted a more youthful appearance. She had previous eyelid surgery with Dr. Lapuerta and now wanted to correct the neck and jawline. Dr. Lapuerta recommended a full facelift to improve the jowls and neck line.
Age: 50 - 59
Height: 5' 6" - 6' 0"
Weight: 150 - 199 lbs
Procedure: Eyelid Surgery Houston, TX
This patient was interested in eyelid surgery for a more refreshed appearance. She complained that she felt as if she looked tired all the time. After consulting with Dr. Lapuerta, he recommended an upper and lower eyelid blepharoplasty. She then decided to consider a facelift for a more aggressive improvement for the overall appearance of the face.
Age: 50 - 59
Height: 5' 0" - 5' 5"
Weight: 100 - 149 lbs
Procedure: Eyelid Surgery Houston, TX
This patient was interested in eyelid surgery to achieve an overall more youthful appearance. She complained that she felt as if she looked tired all the time. She was also concerned with the acne scarring of her face. After consulting with Dr. Lapuerta, he recommended an upper and lower eyelid blepharoplasty and CO2 laser resurfacing. She is extremely happy and stated that she wished she had done this several years ago.
Age: Over 60
Height: Over 6' 0"
Weight: 200 - 249 lbs
Procedure: Eyelid Surgery Houston, TX
This patient was interested in eyelid surgery and a mini-facelift to achieve an overall more youthful appearance. After consulting with Dr. Lapuerta, he recommended an upper and lower eyelid blepharoplasty and full facelift to correct the eyelids, cheek and neck area. This would provide him with the most optimal results. This patient is very pleased with his results has recommended his wife for surgery as well.
Age: Over 60
Height: 5' 0" - 5' 5"
Weight: 150 - 199 lbs
Procedure: Eyelid Surgery Houston, TX
This patient was interested in eyelid surgery to achieve an overall more youthful appearance. She was concerned with the excess skin of her upper eyelids and the puffiness under the eye. She consulted with Dr. Lapuerta and he recommended an upper and lower eyelid blepharoplasty.
Age: Over 60
Height: Over 6' 0"
Weight: 150 - 199 lbs
Procedure: Eyelid Surgery Houston, TX,Brow Lift Houston, TX
This patient was interested in eyelid surgery to achieve an overall more youthful appearance. She was concerned that the upper eyelid skin was blocking her vision. After consulting with Dr. Lapuerta, he recommended an upper and lower eyelid blepharoplasty along with a browlift to achieve the best results possible to open the eyes for a more refreshed appearance.
Age: 50 - 59
Height: 5' 0" - 5' 5"
Weight: 100 - 149 lbs
Procedure: Eyelid Surgery Houston, TX
This patient was interested in eyelid surgery to achieve an overall more youthful appearance. She complained that she felt as if she looked tired all the time. After consulting with Dr. Lapuerta, he recommended an upper and lower eyelid blepharoplasty for a more refreshed appearance.
Age: Over 60
Height: Over 6' 0"
Weight: 200 - 249 lbs
Procedure: Eyelid Surgery Houston, TX
This patient was interested in eyelid surgery to achieve an overall more youthful appearance. He was concerned with the excess skin of his upper eyelids and the puffiness of his under eye. He consulted with Dr. Lapuerta and he recommended an upper and lower eyelid blepharoplasty.
Age: Over 60
Height: 5' 6" - 6' 0"
Weight: 100 - 149 lbs
Procedure: Eyelid Surgery Houston, TX
This patient was interested in improving her appearance. She was concerned about her neck and jaw line along with the excess skin on her upper eyelids. She consulted with Dr. Lapuerta and he recommended an upper and lower eyelid blepharoplasty and neck lift to achieve an overall more youthful appearance without having to have a full facelift.
Age: 40 - 49
Height: 5' 0" - 5' 5"
Weight: 100 - 149 lbs
Procedure: Eyelid Surgery Houston, TX
This patient wanted to achieve a more youthful appearance with subtle facial surgery. She felt she looked tired all the time and wanted some facial rejuvenation but with a permanent correction. She consulted with Dr. Lapuerta and he recommended a mid-facelift and quad blepharoplasty. 5 months after surgery she is very happy with her results!
Age: Over 60
Height: 5' 6" - 6' 0"
Weight: 150 - 199 lbs
Procedure: Eyelid Surgery Houston, TX
This patient was interested in improving his appearance. He complained that his upper eyelid skin was blocking his vision. After meeting with Dr. Lapuerta, he recommended eyelid surgery to help him to acheive the look he desired and to help improve his vision. This patient looks great and is very happy with his results!
Age: Over 60
Height: 5' 0" - 5' 5"
Weight: 100 - 149 lbs
Procedure: Eyelid Surgery Houston, TX
This patient was interested in improving her appearance. She was concerned about her neck and jaw line along with the excess skin on her upper eyelids. She consulted with Dr. Lapuerta and he recommended an upper and lower eyelid blepharoplasty and full facelift to achieve an overall more youthful appearance.
Age: 50 - 59
Height: 5' 6" - 6' 0"
Weight: 100 - 149 lbs
Procedure: Eyelid Surgery Houston, TX
This patient consulted with Dr. Lapuerta about her options for her eyes. She wanted to open her eyes more and look more youthful. She felt that she looked tired when she wasn't. After meeting with Dr. Lapuerta, he recommended upper and lower eyelid surgery to open her eyes more. The recovery was very easy. She is happy with her results and looks amazing!
Her eyes are more open and look bigger and brighter. She looks more youthful. These pictures were taken 3 years apart. As you can tell from the pictures, there aren't any visible scars.
Age: Over 60
Height: Over 6' 0"
Weight: 150 - 199 lbs
Procedure: Eyelid Surgery Houston, TX
This patient was referred by a previous patient of Dr. Lapuertas'. She had considered a procedure for her eyes for a few years. She decided to consult with Dr. Lapuerta and he suggested eyelid surgery. She proceeded with surgery and is very happy with her results!
No visible scarring and the wrinkling around her eyes is gone. She looks much younger overall and her eyes look refreshed.

Schedule a consultation with Dr. Leo Lapuerta to explore your aesthetic goals, and let us accompany you on your unique journey to looking younger.
There was an error processing your form. Please try again later.
Sitemap | Privacy Policy | Accessibility | Notice of Open Payment Database
